ΕΛΛΑΔΑ
ΛΑΚΩΝΙΚΑ ΝΕΑ
ΑΥΤΟΔΙΟΙΚΗΣΗ
ΚΟΙΝΩΝΙΚΗ ΠΡΟΝΟΙΑ
ΚΟΣΜΟΣ ΡΕΠΟΡΤΑΖ
ΟΜΟΓΕΝΕΙΑ
ΡΟΗ ΕΙΔΗΣΕΩΝ
- Ουκρανία: Το Μέτωπο Καίει – Από το Belgorod έως το Donbass 17 Μαρτίου 2026
- Τρομερή Ανατροπή: Οι ΗΠΑ ζητούν εκεχειρία από το Ιράν – Trump προαναγγέλλει «τέλος» στις 20/3 17 Μαρτίου 2026
- Tα δύο αμερικανικά αεροπλανοφόρα, USS Abraham Lincoln και USS Gerald R. Ford, αποσύρονται σε «ασφαλείς θέσεις» 17 Μαρτίου 2026
- Συντονισμένα πλήγματα από το Ιράν σε στρατιωτικές εγκαταστάσεις ΗΠΑ και συμμάχων στον Περσικό Κόλπο 01 Μαρτίου 2026
- H Ευρωπαϊκή Ένωση πληρώνει το τίμημα της αδράνειας και της διπλής ηθικής 27 Φεβρουαρίου 2026
- Πολεμικός πυρετός στα Βαλκάνια-Κλιμάκοση του μετώπου στην Ουκρανία 27 Φεβρουαρίου 2026
- Η Ρωσία πρωταγωνιστεί και στην επερχόμενη σύγκρουση ΗΠΑ - Ιράν 27 Φεβρουαρίου 2026
- Συνάντηση Γεραπετρίτη Ρούμπιο- Ασυνίθηστη η διάρκεια της συνάντησης 27 Φεβρουαρίου 2026
- Η Μέση Ανατολή παραμένει στο χείλος της σύγκρουσης και η διπλωματία των ΗΠΑ προσπαθεί να ισορροπήσει ανάμεσα σε πιέσεις και στρατηγικές προειδοποιήσεις. 25 Φεβρουαρίου 2026
- Ο Ζελένσκυ σπρώχνει την Δύση σε απ' ευθείας διαπραγμάτευση με την Ρωσία 21 Φεβρουαρίου 2026
ΑΡΧΙΚΗ
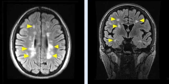
Σκλήρυνση κατά πλάκας: Νέα πειραματική θεραπεία από Ομογενή
Μια νέα θεραπεία για την Πολλαπλή Σκλήρυνση, που έχει αναπτυχθεί από την ομάδα του ομογενούς νευροεπιστήμονα Στήβεν Πετράτος στο Πανεπιστήμιο Monash, δίνει ελπίδες σε εκατομμύρια ασθενείς παγκοσμίως. Η πειραματική θεραπεία, με την ονομασία Diaprotectome, έχει σχεδιαστεί ώστε να επιδιορθώνει τις βλάβες στο Κεντρικό Νευρικό Σύστημα (ΚΝΣ) που προκαλούνται κατά την εξέλιξη της νόσου, προσφέροντας διπλή δράση: αφενός αποτρέπει την περαιτέρω καταστροφή της μυελίνης, του προστατευτικού περιβλήματος των νευρώνων, και αφετέρου διεγείρει τη δημιουργία νέας μυελίνης.
Οι προκλινικές δοκιμές, που έγιναν στην Ελλάδα, την Αυστραλία και το Ισραήλ, έδωσαν εντυπωσιακά αποτελέσματα. Ζώα εργαστηρίου που ήταν παράλυτα κατάφεραν να κινηθούν ξανά, υποδηλώνοντας αποκατάσταση της φυσιολογικής λειτουργίας του νευρικού συστήματος. Σύμφωνα με τον Δρ. Πετράτο, η θεραπεία είναι επίσης εύκολη στη χρήση, καθώς πρόκειται για χάπι που μπορεί να λαμβάνεται συμπληρωματικά με τις τρέχουσες θεραπείες.
Στην Ελλάδα, η θεραπεία προγραμματίζεται να δοκιμαστεί μέσω της κλινικής μελέτης «Odyssey», σε συνεργασία με τον καθηγητή νευρολογίας Νικόλαο Γρηγοριάδη του ΑΠΘ. Οι δοκιμές θα διαρκέσουν 12 μήνες και θα διεξαχθούν σε νοσοκομεία ανά την Ελλάδα, με στόχο να συμμετάσχουν έως και 400 ασθενείς με Πολλαπλή Σκλήρυνση. Εφόσον οι κλινικές δοκιμές ολοκληρωθούν με επιτυχία, η θεραπεία θα περάσει σε δοκιμές σε διεθνές επίπεδο και, αν εγκριθεί, θα τεθεί σε μαζική παραγωγή, προσφέροντας μια πολλά υποσχόμενη νέα επιλογή για τους ασθενείς με Πολλαπλή Σκλήρυνση.

